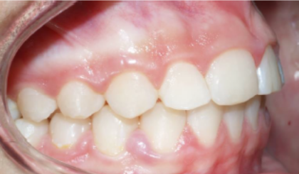
Estos son algunos casos ya terminados de pacientes, tanto niños como adultos, que hemos tenido el placer de tratar. En S&C Clínica Dental sabemos que cada persona tiene unas necesidades distintas e intentamos mejorar cada sonrisa tanto estéticamente como funcionalmente.

Observa como mejoran las encias tras el tratamiento periodontal y la ortodoncia.

